Our Work

Drag the horizontal bar on each photo below to see the transformations

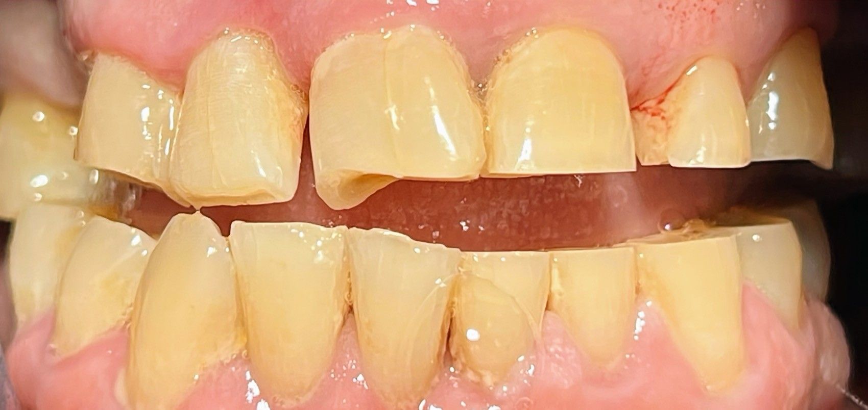
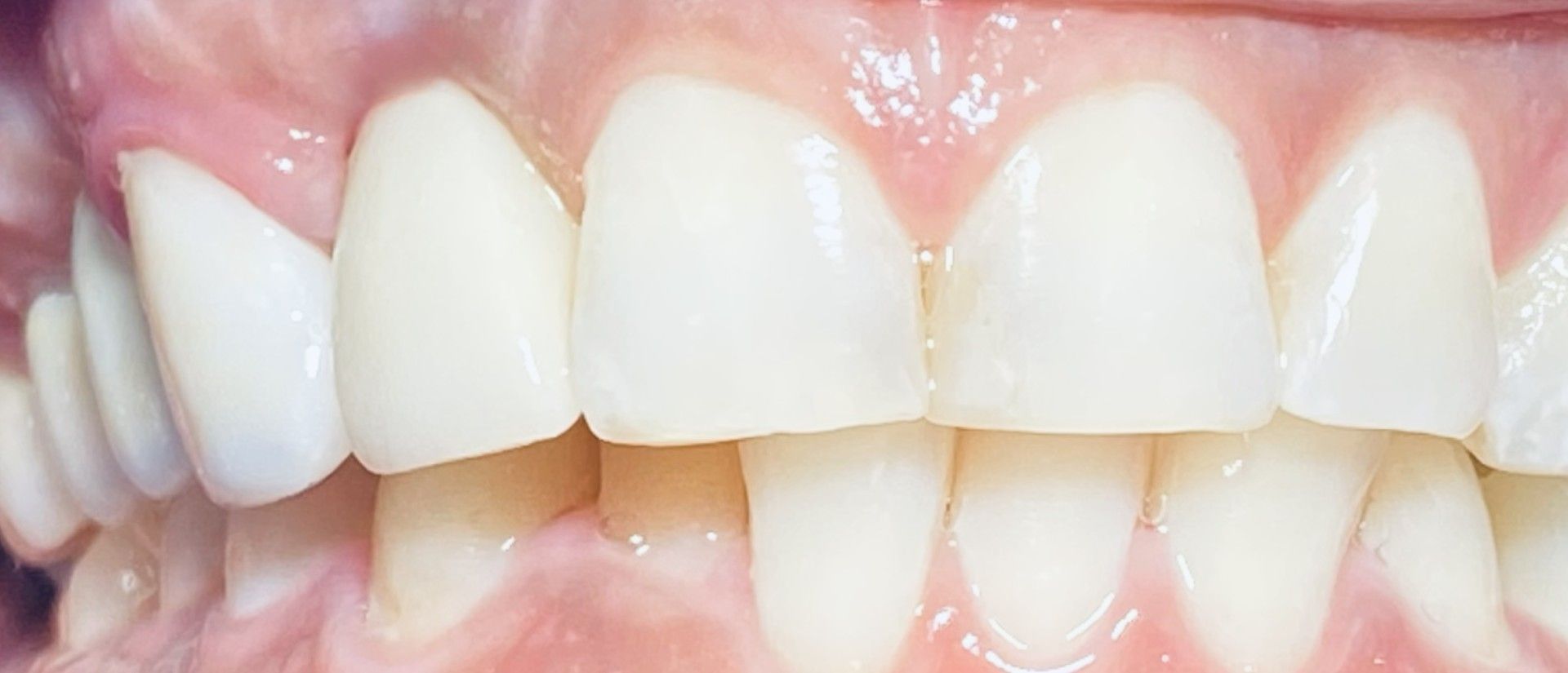
Same-day results that reverses years of wear and grinding damage.

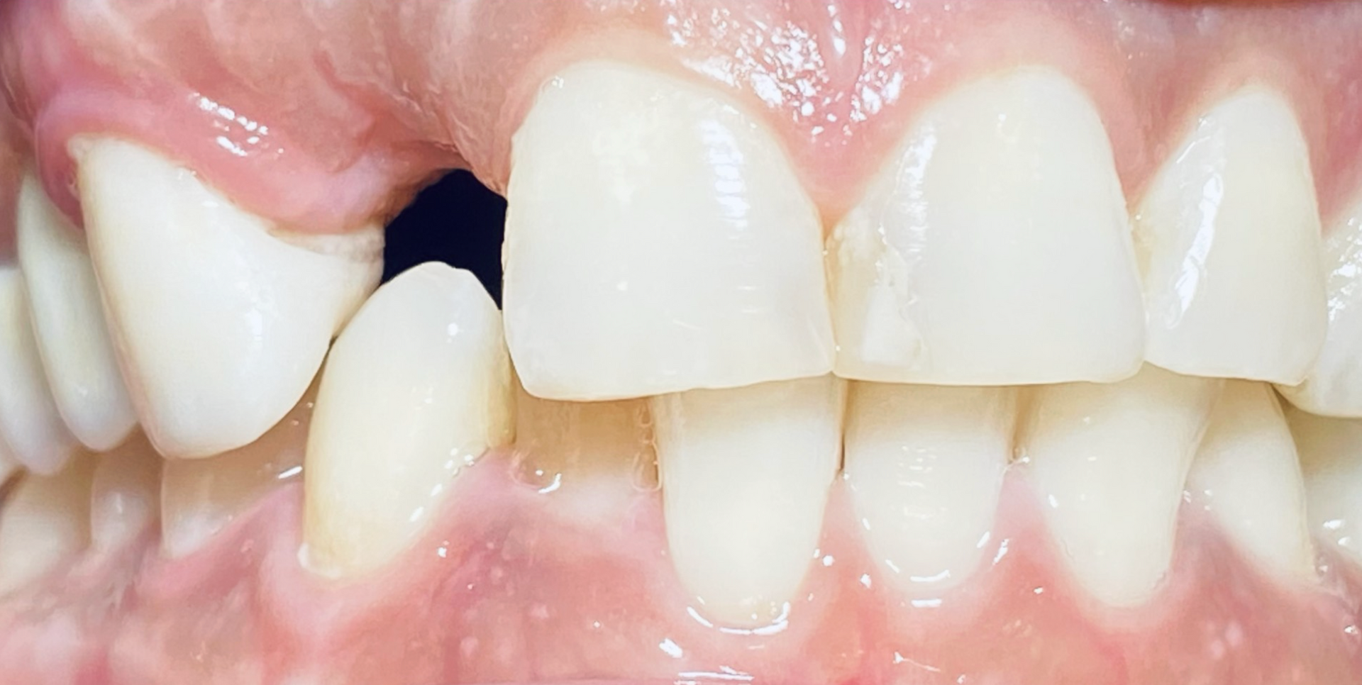
How a dental implant can replace your missing natural tooth – and feel just like the real thing.

Same-day results that reverses years of wear and grinding damage.

How a dental implant can replace your missing natural tooth – and feel just like the real thing.

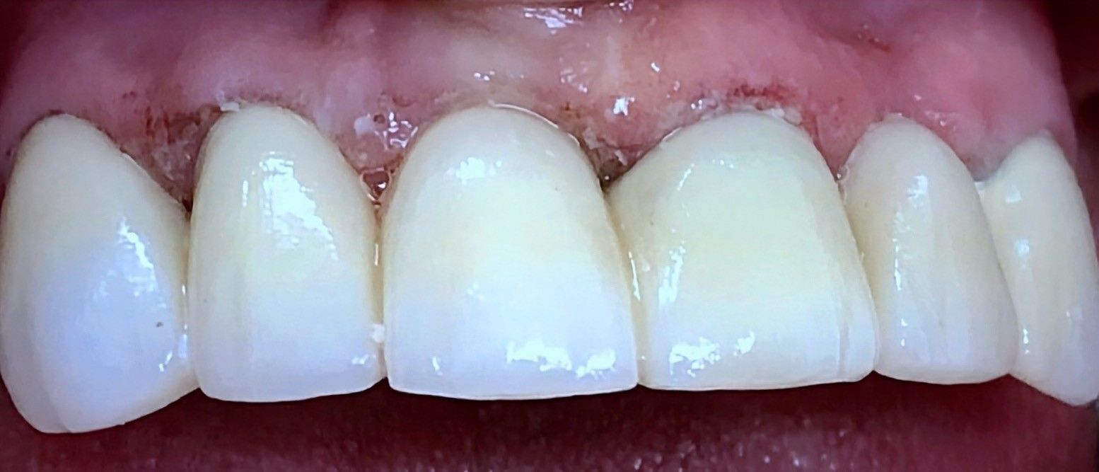
Even stubborn stains from coffee and plaque don’t have to stay forever. Reclaim your natural, beautiful smile with porcelain veneers and crowns.

Years of neglect or bad restorations ruining your smile? Get a stunning custom smile design.

Even stubborn stains from coffee and plaque don’t have to stay forever. Reclaim your natural, beautiful smile with porcelain veneers and crowns.

Years of neglect or bad restorations ruining your smile? Get a stunning custom smile design.

Ready to transform YOUR smile?

Book an appointment today for a free consultation

Book Now